Evident Ultrasonic Inspection Equipment
Researchers Demonstrate Nondestructive Infrared Imaging Using Entangled Photons
Posted:
Researchers have shown that entangled photons can be used to improve the penetration depth of optical coherence tomography (OCT) in highly scattering materials. The method represents a way to perform OCT with mid-infrared wavelengths and could be useful for non-destructive testing and analysis of materials such as ceramics and paint samples.

OCT is a nondestructive imaging method that provides detailed 3D images of subsurface structures. OCT is typically performed using visible or near-infrared wavelengths because light sources and detectors for these wavelengths are readily available. However, these wavelengths don't penetrate very deeply into highly scattering or very porous materials.

In Optica, The Optical Society's (OSA) journal for high-impact research, Aron Vanselow and colleagues from Humboldt-Universität zu Berlin in Germany, together with collaborators at the Research Center for Non-Destructive Testing GmbH in Austria, demonstrate a proof-of-concept experiment for mid-infrared OCT based on ultra-broadband entangled photon pairs. They show that this approach can produce high quality 2D and 3D images of highly scattering samples using a relatively compact, straightforward optical setup.

"Our method eliminates the need for broadband mid-infrared sources or detectors, which have made it challenging to develop practical OCT systems that work at these wavelengths," said Vanselow. "It represents one of the first real-world applications in which entangled photons are competitive with conventional technology."

The technique could be useful for many applications including analyzing the complex paint layers used on airplanes and cars or monitoring the coatings used on pharmaceuticals. It can also provide detailed 3D images that would be useful for art conservation.

Tapping into quantum mechanics

When photons are entangled, they behave as if they can instantly affect each other. This quantum mechanical phenomenon is essential to many quantum technology applications under development, such as quantum sensing, quantum communications or quantum computing.

For this technique, the researchers developed and patented a nonlinear crystal that creates broadband photon pairs with very different wavelengths. One of the photons has a wavelength that can be easily detected with standard equipment while the other photon is in the mid-infrared range, making it difficult to detect. When the hard-to-detect photons illuminate a sample, they change the signal in a way that can be measured using only the easy-to-detect photons.

"Our technique makes it easy to acquire useful measurements at what is a traditionally hard-to-handle wavelength range due to technology challenges," said Sven Ramelow, who conceived and guided the research. "Moreover, the lasers and optics we used are not complex and are also more compact, robust and cost-effective than those used in current mid-infrared OCT systems."

Imaging with less light

To demonstrate the technique, the researchers first confirmed that the performance of their optical setup matched theoretical predictions. They found that they could use six orders of magnitude less light to achieve the same signal-to-noise ratio as the few conventional mid-infrared OCT systems that have been recently developed.

"We were positively surprised that we did not see any noise in the measurements beyond the intrinsic quantum noise of the light itself," said Ramelow. "This also explained why we can achieve a good signal-to-noise ratio with so little light."

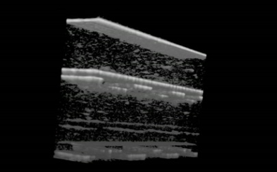
The researchers tested their setup on a range of real-world samples, including highly scattering paint samples. They also analyzed two 900-micron thick alumina ceramic stacks containing laser-milled microchannels. The mid-infrared illumination allowed the researchers to capture depth information and to create a full 3D reconstruction of the channel structures. The pores in alumina ceramics make this material useful for drug testing and DNA detection but also highly scattering at the wavelengths traditionally used for OCT.

The researchers have already begun to engage with partners from industry and other research institutes to develop a compact OCT sensor head and full system for a pilot commercial application.

Paper: A. Vanselow, P. Kaufmann, I. Zorin, B. Heise, H. M. Chrzanowski, S. Ramelow, "Frequency-domain optical coherence tomography with undetected mid-infrared photons," Optica, 7, 10, 1729-1736 (2020).
DOI: https://doi.org/10.1364/OPTICA.400128.

About Optica

Optica is an open-access, journal dedicated to the rapid dissemination of high-impact peer-reviewed research across the entire spectrum of optics and photonics. Published monthly by The Optical Society (OSA), Optica provides a forum for pioneering research to be swiftly accessed by the international community, whether that research is theoretical or experimental, fundamental or applied. Optica maintains a distinguished editorial board of more than 60 associate editors from around the world and is overseen by Editor-in-Chief Prem Kumar, Northwestern University, USA. For more information, visit Optica.

About The Optical Society

Founded in 1916, The Optical Society (OSA) is the leading professional organization for scientists, engineers, students and business leaders who fuel discoveries, shape real-life applications and accelerate achievements in the science of light. Through world-renowned publications, meetings and membership initiatives, OSA provides quality research, inspired interactions and dedicated resources for its extensive global network of optics and photonics experts. For more information, visit osa.org.
Applied Technical Services